近日,心脉医疗?Hector?/通天戟?胸主多分支支架在上海长海医院由陆清声教授及其带领的血管外科团队成功完成全国首例上市前临床植入,标志着该产品正式启动国内上市前临床试验
Hector?/通天戟?胸主多分支支架能够通过微创伤介入治疗同时实现腔内重建主动脉和弓上三大分支动脉,已在海外多国成功开展临床应用,有望在未来使更多国内患者获益
近日,由上海微创心脉医疗科技(集团)股份有限公司(以下简称“心脉医疗?”)创新研发的Hector?/通天戟?胸主动脉多分支覆膜支架系统(以下简称“Hector?/通天戟?胸主多分支支架”)在上海长海医院由陆清声教授及其带领的血管外科团队成功完成全国首例上市前临床植入,标志着该产品正式启动国内上市前临床试验。本次临床试验由上海长海医院陆清声教授担任主要研究者,采用前瞻性、多中心、单组目标值临床设计,在全国多家医院同步开展试验,旨在评估Hector?/通天戟?胸主多分支支架在治疗主动脉弓病变中的安全性和有效性。

▲上海长海医院陆清声教授(左五)
及其带领的血管外科团队
病例分享
术前评估:
男性患者,68岁,患者3个月前因外伤于医院行胸部CT检查,提示胸主动脉瘤,进一步检查确诊为主动脉弓部动脉瘤,主动脉弓部左侧局部膨隆,瘤体内见附壁血栓,胸主动脉走形迂曲,管壁见多发软硬斑块。拟行胸主动脉腔内修复术(TEVAR)治疗,植入Hector?/通天戟?胸主多分支支架以隔绝病变。
手术过程与效果:
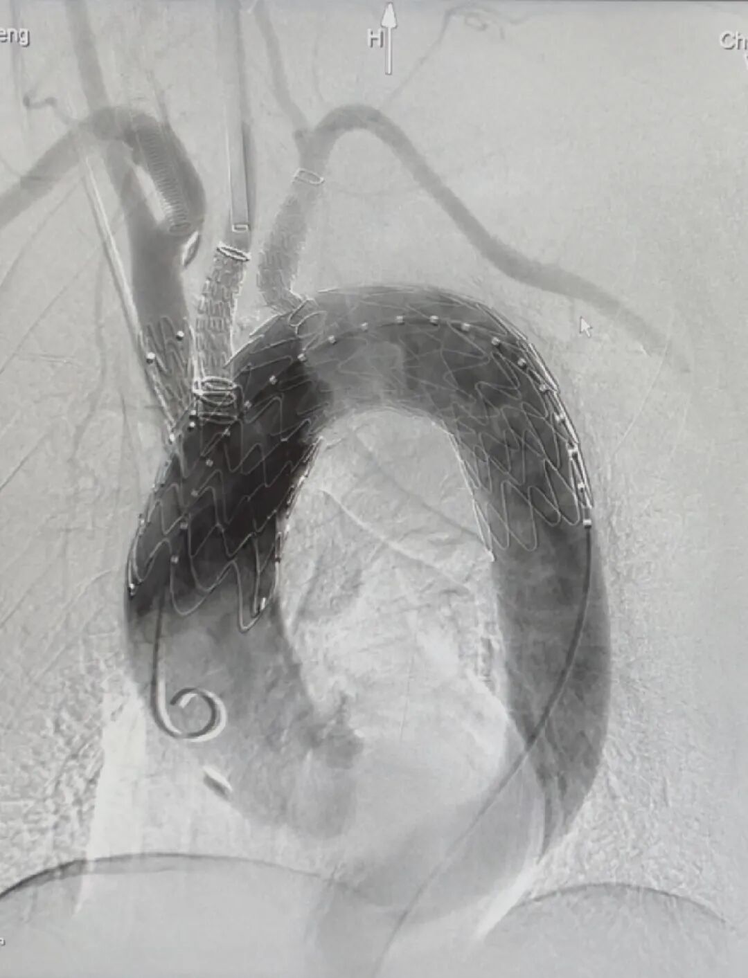
患者取仰卧位,解剖右侧股动脉和左颈总动脉,穿刺双侧肱动脉。造影显示主动脉弓部瘤,确认预期位置后,植入Hector?/通天戟?胸主多分支支架。术后造影显示:支架形态良好,定位精准;瘤体被完全隔绝,未见内漏;主动脉弓上三分支血流通畅,达到手术预期效果。

▲术后影像
术后,针对本病例,陆清声教授表示:“Hector?/通天戟?胸主多分支支架将主动脉腔内治疗拓展至全主动脉弓部,满足临床的迫切需求。支架结构设计解剖适应度高,预防内漏。输送系统导入方式及支架释放步骤均有独特设计,相比三开窗或烟囱技术,显著降低了手术操作难度,缩短手术时间。整体上,Hector?/通天戟?胸主多分支支架手术操作流畅,支架定位准确,支架贴合血管解剖形态,瘤腔隔绝完全。”
胸主动脉瘤(Thoracic Aortic Aneurysm, TAA)是指胸主动脉直径超过正常值1.5倍的扩张性病变。当其累及主动脉弓部,临床风险急剧升高,瘤体破裂死亡率超80%。当前对其治疗深陷两难,传统开胸手术创伤大、恢复时间长、神经损伤风险较高;而国内外目前尚无可供微创伤手术治疗的商业化产品上市,临床上使用现有支架产品进行的腔内重建三分支技术(如烟囱技术、开槽/开窗技术等)各有劣势和局限性,这类有限的超适应证手术治疗,手术风险和并发症率高。完全腔内化精准重建弓上三分支仍是全球血管外科领域亟待攀登的"技术绝壁"。为使更多患者能够通过合规的微创伤介入手术进行治疗,亟需开发胸主动脉多分支支架。
心脉医疗?在分支型主动脉支架领域已有近二十年的技术积累。 Castor?/通天戈?分支型主动脉覆膜支架及输送系统(以下简称“Castor?/通天戈?分支型支架”)是全球首款分支型主动脉支架,首次将主动脉腔内治疗从降主动脉扩展至主动脉弓上单分支,新一代Cratos?/通天镰?分支型主动脉覆膜支架系统(以下简称“Cratos?/通天镰?分支型支架”)在输送系统方面进行了多项创新升级。Castor?/通天戈?分支型支架和Cratos?/通天镰?分支型支架目前均已在全球多国应用于临床,且表现优异。在第一代和第二代分支型支架基础上创新研发的Hector?/通天戟?胸主多分支支架,作为公司首款三分支支架,进一步将主动脉腔内治疗扩展至全主动脉弓,满足临床的迫切需求。

▲心脉医疗?Hector?/通天戟?
胸主动脉多分支覆膜支架系统
Hector?/通天戟?胸主多分支支架能够通过微创伤介入治疗同时实现腔内重建主动脉和弓上三大分支动脉。其具有三大创新性设计,包括独特的全腔内三分支覆膜支架结构设计、血流无阻断快速部署三分支支架技术,以及刚柔并济且兼具后释放功能的桥接支架设计。凭借在技术上的领先优势,Hector?/通天戟?胸主多分支支架于2025年3月获批进入国家创新医疗器械审批“绿色通道”,有望缩短其在国内的上市进程,早日使国内患者获益。
此外,公司也在加速推进Hector?/通天戟?胸主多分支支架的海外市场布局和临床应用,目前已在瑞士、意大利、德国等多个国家成功完成了多例临床应用,手术效果良好,获得了国外临床专家的认可。2025年7月,Hector?/通天戟?胸主多分支支架成功获得欧盟定制证书,并已在欧洲血管外科年会上正式上市发布。
未来,Hector?/通天戟?胸主多分支支架在国内获批上市,将为国内主动脉弓部病变腔内修复治疗提供更优的手术解决方案,同时也将进一步巩固公司在主动脉介入领域的领先优势。心脉医疗?也将继续致力于主动脉、外周血管及肿瘤疾病一体化解决方案的研发创新,秉承向医疗社区“提供能延长和重塑生命的可普惠化真善美方案”的企业使命,致力于成为大血管及外周血管等领域新兴科技引领者。
——心脉医疗?总裁
朱清博士
?
专家介绍
?
陆清声
医学博士、教授、主任医师、博士生导师
长海医院血管外科主任、党支部书记
上海市医学领军人才,上海市优秀学术带头人,中国康复医学会血管外科专业委员会主任委员,中国医师协会腔内血管学专业委员会常委,中国医师协会血管外科分会委员,国家心血管病专家委员会血管外科专业委员会全国委员,上海市医师协会血管外科医师分会副会长,国际血管联盟青年委员会主席,国际血管联盟中国分部血管转化医学专家委员会主任委员,国际腔内血管专家协会委员,美国血管外科协会国际委员。中国外科年鉴血管外科专业主编,介入放射杂志(英文)副主编,中国血管外科杂志常务编委,中国介入影像与治疗学杂志编委,JEVTM国际编委。美国克利夫兰医院访问学者。上海市青年科技启明星,上海市浦江人才,获个人三等功1次,集体二等功1次,获首届国之名医“优秀风范奖”,获中华人民共和国成立70周年纪念章。
从事临床一线工作20余年,以血管外科为专业,以主动脉疾病的精准微创诊治、VTE防治、血管腔内介入机器人研发应用为专业方向。擅长复杂主动脉瘤及主动脉夹层的精准微创腔内治疗,开展下肢深静脉血栓、下肢动脉、颈动脉疾病及其它复杂性血管疾病诊治。
提出“空间反转法”体外预开窗腔内治疗主动脉弓疾病,提出“Oversize 0-5%”移植物选择标准腔内治疗主动脉夹层,提出“瘤腔蛋白胶填充”方法腔内治疗腹主动脉瘤,发明“Castor分支支架”,发明“救命球囊L-REBOA”,发明“血管腔内介入手术机器人”,提出“血管疾病诊治精准微创腔内时代”理念,创办“新血管大会”。“主动脉夹层精准微创治疗”获上海市级医院临床创新奖。第一申请人承担国家自然科学基金5项,国家重点研发计划科技创新重大项目1项,负责实施国家“863”“十一五”专题项目1项。第一或通讯作者发表SCI论著60余篇,包括第一作者发表于JACC及Circulation杂志。发表中文论著288篇。主编专著12部,参编专著16部。获国家科技进步二等奖,中华医学科技一等奖,中国国际专利与名牌博览会金奖,全国医院医疗质量管理最佳实践奖,教育部科技进步一等奖,全军医疗成果一等奖,上海市科技进步一等奖等。获国家发明专利35项。
所带领学科长海医院血管外科,国家卫健委外周血管专业培训基地,中国人民解放军血管外科研究所,上海市血管系统疾病临床医学中心,上海市重中之重临床重点学科,上海市创新医疗器械应用示范基地。